Built for Busy Equine Practices
When report generation is fast, it actually gets done. DigiHoof fits into high-volume imaging days so standardized hoof radiograph reports become part of the routine — not a time-consuming afterthought.
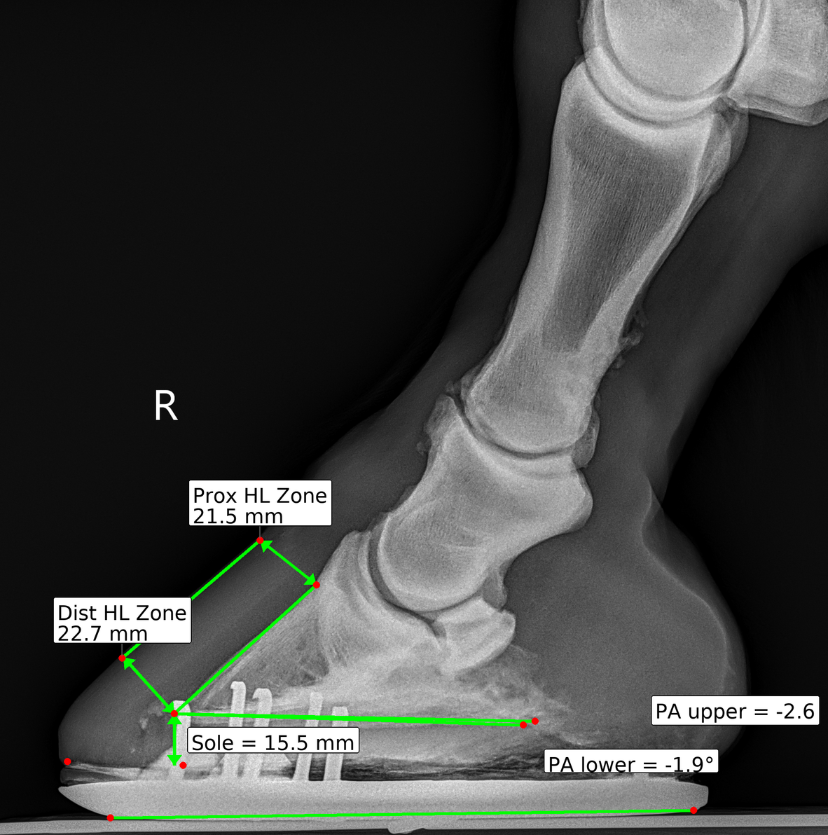
DigiHoof bridges veterinary imaging and farrier practice
with clear, repeatable hoof radiograph reports. Built for busy equine clinics.
When report generation is fast, it actually gets done. DigiHoof fits into high-volume imaging days so standardized hoof radiograph reports become part of the routine — not a time-consuming afterthought.
Hoof radiographs only help when both the veterinarian and the farrier can clearly see and discuss the findings. DigiHoof presents measurements and overlays in a format farriers understand and trust — improving collaboration for the horse's benefit.
Consistent overlays and measurements across visits make real comparison possible. Track hoof balance changes, sole depth progression, and alignment over time with standardized reports that speak the same language every visit.
Built for the pace of real practice. Generate professional hoof radiograph reports in minutes, not hours. When it's quick, it happens.
Machine learning helps normalize landmark placement and measurements while preserving the veterinarian's clinical judgment.
Farriers review reports on their phone or tablet. No PACS login required. No technical barriers. Just clear, actionable hoof data.
Routine and follow-up hoof radiographs. Farrier review for trimming and shoeing decisions. Sport horses requiring longitudinal comparison. Clinics prioritizing clarity and communication.
Learn More About DigiHoof →